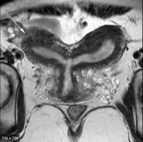
STUDY MODE TRIAL Show session ID Load progressSave Session Correct0Incorrect0Skipped0 Welcome to your Demo Study Name Email 1. In which syndrome would a single Barr body be found? Males with Down's syndrome Most cases of Turner's syndrome Females of genotype XXX Klinefelter's syndrome Subjects with testicular feminisation syndrome None 2. Which of the following is represented in the picture ? Ovarian cyst Corpus luteum Ectopic pregnancy Corpus albicans Endometrioma None 3. The following picture represents cut section of umbilical cord , Which of the following is represented by arrow D ? Umbilical vein Umbilical artery Allantois Extra-embryonic celom Wharton's jelly None 4. You are asked to prescribe antibiotics to a patient who requires intrapartum antibiotic prophylaxis. After checking for allergies you prescribe clindamycin. The antibacterial action of clindamycin is due to which of the following? Damages bacterial DNA via multiple reactive intermediaries Dihydrofolate reductase inhibitor Interfering with the synthesis of proteins Inhibiting DNA synthesis via enzymatic mediator Inhibiting biosynthesis of cell wall peptidoglycan None 5. Which of the following is the leading cause of Down Syndrome? Nondisjunction paternal gamete Nondisjunction maternal gamete Mitotic Nondisjunction after conception Robertsonian Translocation Ring Chromosome None 6. Regarding cardiotocography CTG tracing , Standard paper speed is which of the following ? 1 Cm/Minute 2 Cm/Minute 3 Cm/Minute 4 Cm/Minute 5 Cm/Minute None 7. An example of vaccine adjuvants Aluminium citrate Magnesim hydroxide Aluminium hydroxide Sodium chloride None of the above None 8. Predisposing factors for the development of keloid scars include which of the following? Secondary wound closure Patients of Afro‐Caribbean origin with dark complexion Male sex Steroid therapy Use of local bupivacaine None 9. Regarding Turner syndrome which of the following statements is true? Complete monosomy is rare accounting for <10% of cases of Turners Turners is thought to affect 0.1% of all conceptuses Turner syndrome occurs in approximately 1 in every 20,000 live female births Only 1% of affected fetuses will survive to term Long fingers are a recognised clinical feature None 10. Live attenuated vaccines Boosters required Produce poor immune response More cost than killed vaccines Contraindicated during pregnancy Requires addition of an adjuvant None 11. Which of the following placental abnormalities/variants is represented in the following picture ? Placental aneurysm Placental chorioangioma Placental abruption Placental infarct Placental A-V shunts None 12. How many copies of amino acid sequences present in TRh precursor ? 2 4 6 8 10 None 13. You see a 26‐year‐lady who is 34 weeks pregnant in her first pregnancy. She has been sent in for review as her blood pressure was raised at a routine check. Monitoring on the assessment ward has shown persistently raised blood pressure, with 1+ proteinuria and normal bloods. You decide to start treatment with labetalol. You are called to see her later that day as she has become wheezy. She now tells you she had asthma as a child. This effect is due to the antagonistic effect of the drug against which type of adrenoceptor? α1 receptors α2 receptors β1 receptors β2 receptors β3 receptors None 14. Rate limiting step in the synthesis of catecholamines? Acetylcholine esterase DOPA decarboxylase Tyrosine hydroxylase Dopamine B hydroxylase Phenyl N methyl transferase None 15. Which one of the below statements about danazol is true? Is recommended for use for up to 5 years Is contraindicated in women with a history of thrombo-embolic disease Is effective in treating idiopathic hirsutism Is associated with proliferation of the endometrium If taken in during pregnancy can emasculate a male fetus None 16. Which one of the following is not associated with a significant risk of pulmonary embolism? Obesity (BMI >40) Malignant disease Femoral fracture Pelvic surgery Surgical termination of early pregnancy None 17. The conversion of cholecalciferol to 25-hydroxycholecalciferol occurs in The adrenal cortex The liver The kidney The adrenal medulla The reticulo-endothelial cells None 18. Which uterine pathology is in the following picture ? Leiomyomas Endometrial hyperplasia Adenomyosis Leiomyosarcoma Endometrial polyp None 19. Corticotrophin-releasing hormone (CRH) binding protein is produced by Cytoptophoblasts only Cytotrophoblasts, the decidua and fetal membranes The decidua and fetal membranes only The decidua only Cytotrophoblasts and the decidua only None 20. Hypotension is a common unfavourable event when using spinal anaesthesia , What's the mechanism for such event ? Pre-ganglionic autonomic blockade Post-ganglionic autonomic blockade Diffusion to circulation causing direct vasodilation Vagal stimulation Pain associated with procedure None 21. Which of the following is the commonest intra‐abdominal childhood malignancy of primitive renal tubules and mesenchymal cells? Xeroderma pigmentosa Hereditary non‐polyposis colonic carcinoma (HNPCC) Wilms' tumour Retinoblastoma Familial adenomatous polyposis None 22. Nerve supply to the ovary Superior hypogastric plexus Coeliac plexus Superior mesenteric plexus Inferior hypogastric plexus Aortic plexus None 23. Percentage of natural killer cells in decidua during secretory phase 10% 20% 30% 40-60% 80 % None 24. At Term G2 wearing seat belt has car accident she has abdominal pain and consults you for anti D She doesn’t need Anti D 250iu Anti D 500iu Anti D 1500 iu Perform kleihauer test None 25. Which of the following substances is correctly paired with the disease that ensues as a result of deficiency? Ascorbic acid ‐ night blindness Niacin ‐ beriberi Folates ‐ sprue Cyanocobalamin ‐ microcytic anaemia Thiamine ‐ pellagra None 26. Which bacterium species is resistant to penicillins in over 20% of isolates? Escherichia coli Pseudomonas aeroginosa Beta‐haemolytic streptococci Neisseria meningitidis Haemophilus influenzae None 27. Is used by the placenta to produce oestrogens DHEA-sulphate Cholesterol Cortisol Testosterone Progesterone None 28. A 23 year old woman is found to have chlamydia cervicitis at 6 weeks gestation. If untreated, infection is associated with 5-10% risk of neonatal chlamydia infection 1-2% risk of neonatal chlamydia infection Over 50% risk of neonatal chlamydia infection 15-20% risk of neonatal chlamydia infection 1-2% risk of congenital anomalies None 29. The following scatter plot is used to view what type of data? Meta analysis data Binary data Bivariate data Digital data Ordinal data None 30. Which biochemical technique is used to prenatal identification of cystic fibrosis by using specifically amplifying predetermined DNA sequences? karyotyping Sweat test Southern blotting Polymerase chain reaction (PCR) Fluorescent in situ hybridization (FISH) None 31. The embryological origin of the trigone of the bladder Urachus Mesonephric duct Cloaca Yolk sac Mesonephric mesoderm None 32. Regarding hormone levels in PCOS which of the following is typical Elevated FSH Elevated Sex Hormone Binding Globulin LH:FSH ratio increased typically >2 FSH:LH ratio increased typically >2 None of the above None 33. Which one of the following structures is the origin of the labia minora? Mesonephric duct Metanephric blastema Paramesonephric duct Genital tubercle Urethral folds None 34. What percentage of haemoglobin is HbF by 6 months of age? <2% 5-10% 20-25% 50% 70-90% None 35. Which type of female genital mutilations is represented in the picture ? Normal type 1 type 2 type 3 type 4 None 36. Post‐menopausal females from a variety of health clubs are selected to participate in a study of hormone replacement therapy. Which of the following statistical terms best describes this scenario? Double blinding Confidence interval Selection bias Single blind study Confounding factor None 37. You are carrying out analysis of a new test for DVTs and decide to plot a ROC curve. What are the axes of the curve? Specificity v Sensitivity Sensitivity v Specificity Positive Predictive Value v Negative Predictive Value (1-Sensitivity) v Specificity Sensitivity v (1-Specificty) None 38. Which of the following is an appropriate treatment for Diazepam overdose? Parvolex Naloxone Protamine Flumazenil Beriplex None 39. Insulin-like growth factors Effect muscle growth through their effects on growth hormone production Circulate bound to albumin Production is stimulated by oestrogen Production is stimulated by cortisol Concentrations are low during fasting None 40. Which of the following is correct regarding Escherichia coli Is a recognised cause of the haemolytic uraemic syndrome Is a bowel commensal Causes pseudomembranous colitis Can be prevented from causing clinical illness by vaccination Is an important cause of cholera‐like illness None 41. At the end of surgery you notice an area of burn near the attached diathermy plate. The diathermy plate seems to be partially detached. Which of the following would be the most likely aetiology? High voltage was used The power output was accidentally turned up The surgeon may have accidently touched the instrument to the patient’s thigh The injury may have resulted from insulation failure Due to the plate not being secured properly, the current density was concentrated in the smaller area where the plate was attached None 42. The blood supply to the fallopian tube Ovarian artery Ovarian and uterine arteries Internal iliac artery Uterine artery External iliac artery None 43. You are using diathermy to control bleeding prior to closing a surgical incision. What is the SI unit of diathermy power? Joule Volt Ampere Hertz Watt None 44. Which of the following is true of human immunodeficiency virus? Is a single stranded DNA retrovirus Patients can be infective prior to seroconversion illness at about three months Induces an increase in CD4 lymphocytes, monocytes and antigen‐presenting cells The median survival with AIDS is greater than 10 years Decreases the risk of opportunistic infection None 45. Which of the following is represented in the following Hysterosalpingogram picture ? Arcuate uterus Septate uterus Unicornuate uterus Bicornuate uterus Uterus didelphis None 46. For IM injection adrenaline should be diluted in 1in 10 1 in 100 1 in 100000 1 in 1000 1 in 200 None 47. Which type of epithelium lines the distal urethra near the external urethral orifice? Transitional Stratified squamous keratinized Stratified squamous non-keratinized Stratified columnar Simple columnar None 48. Looking at the diagram of the fetal skull below. The lamboid suture is represented by which label? B D I G H None 49. Which of the following constitutes main blood supply of ascending colon ? Right colic Superior mesentric artery Middle colic artery Inferior mesentric artery Left colic artery None 50. Which type of twins showing in the following ultrasound picture Dichorionic diamniotic twins Monochorionic monoamniotic twins Monochorionic diamniotic twins Dichorionic monoamniotic twins Conjoined twins None 51. With respect to the anatomy of the female external genitalia The labia majora fuse posteriorly to form the fourchette The vestibule is bound laterally by the labia majora The clitoris is located at the base of the vestibule The fourchette is located at the apex of the vestibule The urethra opens within the vestibule posterior to the clitoris None 52. What is the volume for total blood volume that rises in normal pregnancy? 5 ml/kg 10 ml/kg 25 ml/kg 50 ml/kg 100 ml/kg None 53. Regarding cerebro-spinal fluid circulation , which structure is represented by the arrows ? Foramina of Luscka and Magendi Choroid plexus Subarachnoid space 3rd ventricle Foramina of Monroe None 54. With regards to the following diagram of female perineal muscles , Which of the following is represented by the arrow A ? Bulbospongiosus Ischiocavernosus Superficial transverse perineal muscles External urethral sphincter Deep transverse perineal muscles None 55. A measure of degree of change within a medium when a sound wave passes through it and relates to the severity of disturbance T Period Wavelength Velocity Amplitude Frequency None 56. Macrophages are derived from what type of white blood cell? T-cells Natural Killer Cells Monocytes B-Cells Neutrphils None 57. What is the contrast dye used in MRI scans? Barium Gadolinium Iodine Thallium Tecnisia None 58. Where in the kidney is the majority of Sodium and Glucose reabsorbed Loop of Henle Bowmans Capsule Distal Tuble Proximal Tubule Collecting Duct None 59. In HIV positive women treated with highly active anti-retroviral therapy, which one is not associated with an increased risk of vertical transmission? Advanced maternal HIV disease Short duration of anti-retroviral therapy High viral load Birth after 39 weeks gestation Birth before 32 weeks gestation None 60. From which germ layer does the Pancreas develop? Endoderm Coelom Intermediate Mesoderm Neural crest of Ectoderm Neural tube of Ectoderm None 61. The enzyme which builds an mRNA strand complimentary to the DNA transcription unit is called? DNA polymerase Reverse transcriptase Helicase RNA polymerase DNA ligase None 62. With respect to hernias of the anterior abdominal wall Direct inguinal hernias are more common than indirect hernias The sac of direct inguinal hernias lies below the pubic tubercle The sac of indirect inguinal hernias lies lateral to the pubic tubercle The sac of indirect inguinal hernias lies below the The sac of direct inguinal hernias lies medial to the pubic tubercle None 63. with regards to the following ultrasound picture of abdominal circumference , Which of the following is represented by arrow ? Base of lungs Urinary bladder Gall bladder Stomach bubble Aorta None 64. Regarding a reduced arterial pCO2, which of the following statements is true? Increases cerebral blood flow Reduces blood pH Occurs in normal pregnancy Occurs at altitudes under 4,500 metres Leads to a more acidic urine None 65. The actions of parathyroid hormone result in Increased sodium and potassium reabsorption in the kidneys Increased sodium and decreased potassium reabsorption in the kidneys Decreased sodium and potassium reabsorption in the kidneys No change in renal sodium and potassium escretion Increased potassium and decreased sodium reabsorption in the kidneys None 66. 23-year-old woman presents with fishy foul smelling vaginal odour. 'Clue cells' are found in the smear. Which of the following cell types is belong to 'Clue cells'? Neutrophils Natural killer cells Lymphocytes Macrophages Epithelial cells None 67. Which of the following does not predispose to atherosclerosis? Hormone replacement therapy Obesity Diabetes mellitus Systemic arterial hypertension Cigarette smoking None 68. The following are all common contraindications to the use of the copper coil EXCEPT: Irregular bleeding Wilson’s disease Pregnancy Jaundice Anaemia None 69. With respect to the structure of DNA and chromosomes, nucleosomes are joined by Double-stranded linker DNA Double-stranded RNA Single-stranded linker DNA hydrogen bonds 3-5-phosphodiester bonds None 70. Correct interpretation of the following Urogram : Stress incontinence. Urinary tract infection . Detrusor muscle instability Urge incontinence Detrusor muscle overactivity None 71. Which represents the structure with the arrow in the following diagram ? Superior fascia of urogenital diaphragm Inferior fascia of urogenital diaphragm Perineal membrane Colle’s fascia Scarpa fascia None 72. Which of the following would be typical of a patients with Addison's Hypotension, hyperkalaemia, hyponatraemia Hypertension, hypokalaemia, hypernatraemia Hypertension, hyperkalaemia, hyponatraemia Hypotension, hyperkalaemia, hypernatraemia Hypotension, hypokalaemia, hyponatraemia None 73. A 26‐year‐old female presents with right iliac fossa pain and is taken to theatre for an appendicectomy. An incision is made through the skin and onto muscle with fibres passing inferiorly in an oblique direction. Which abdominal wall muscle does this describe? Internal oblique Pyramidalis Tranversus abdominis Rectus abdominis External oblique None 74. Which of the following is a recognised carcinogen? Infrared radiation Beta‐naphthylamine Nicotine Aerosol spray Electromagnetic microwaves None 75. Which of the following best describes the mechanism of action of Prochlorperazine? Dopamine D1 receptor antagonist Histamine H1 receptor antagonist Dopamine D2 receptor antagonist Histamine H2 receptor antagonist 5HT3 receptor antagonist None 76. Which one is not an example of post-translational modification of proteins? Disulphide bond formation Peptide bond formation Glycosylation Hydroxylation Proteolysis None 77. Bulb of vestibule becomes blood engorged during sexual arousal by which Nerves supply ? Clitoral branch of perineal nerve Labial branch of perineal nerve Parasympathetic supply Sympathetic supply Pelvic Splenchnic nerve None 78. What is the innervation to the 4th part of duodenum? T5-T9 T10/T11 T12/L1 L2/L3 L3/L4 None 79. Fibrinogen is activated by which of the following? Tissue Factor Thrombin Prothrombin Factor X Factor Xa None 80. Which one of the above is not readily transferred across the placenta? IgG Amino acids Thyroxine Ca2+ Glucose None 81. Nerve supplying area over femoral triangle is which of the following ? Lateral cutaneous nerve of thigh Femoral nerve Iliohypogastric Genitofemoral Ilioinguinal None 82. Regarding Standard error of mean [ SEM ] how it is calculated ? SD x square root n SD / n SD x n SD – Square root n SD / Square root n None 83. Regarding coagulation current of of diathermy which of the following is correct Low voltage High frequency Constant waveform Less heat production than cutting current Poor hemostasis None 84. Which group of disorders are all inherited in an autosomal recessive manner? Myotonic dystrophy, cystic fibrosis, Gaucher disease, sickle cell disease Duchenne muscular dystrophy, cystic fibrosis, myotonic dystrophy, Gaucher disease Gaucher disease, Galactosaemia, haemochromatosis, Von Willebrand disease Haemochromatosis, fascioscapulohumeral dystrophy, galactosaemia, sickle cell disease Sickle cell disease, Gaucher disease, Galactosaemia, Haemochromatosis None 85. Which of the following hormones increase after ovulation and decrease the proliferation of endometrium? Progesterone Luteinizing hormone (LH) Follicle-stimulating hormone (FSH) Estrogen Gonadotropin-releasing hormone (GnRH) None 86. Acquired immune system immediate response Has cytokines as soluble effectors Dependent on neutrophils and macrophages Recognizes non-specific antigens Produces local rather than systemic response None 87. A report of a clinical trial of a new post‐operative analgesic reads: "In a comparison between the new drug and a placebo, a higher proportion of patients taking the new drug obtained relief from pain (p<0.05)." Which of the following statements is correct? The result may have occurred by chance alone in less than one in five occasions The trial was well designed Amongst 100 patients treated with the drug, five would be expected to have a placebo response The result should be regarded as reaching conventional levels of statistical significance The probable error of the observations is +/‐ 5% None 88. From which of the following structures is the stapes derived? Pouch of first pharyngeal arch Pouch of second pharyngeal arch Pouch of third pharyngeal arch Mesoderm of second pharyngeal arch Mesoderm of first pharyngeal arch None 89. Primiparous patient with 9cm dilated cervix and intact membrane. CTG is reactive since 2hrs. What is the next action? Follow-up after another 2hr Assisted delivery Iv syntocinon Amniotomy Vaginal PGE1 None 90. The latest and most effective therapy for AIDS patients includes azidothymidine (AZT), dideoxyinosine (DDI), and saquinavir or similar agents. Use of these three drugs would inhibit which of the following viral processes? RNase, DNase p24 antibody expression Reverse transcriptase, protease gp120 formation All membrane synthesis None 91. Which one of the following has the most significant effect on slowing drug metabolism in pregnancy? Progesterone effect on gastric motility Dilutional anaemia Increased renal blood flow Increased hepatic blood flow Lower albumin concentration None 92. Severe Hyperkalemia is defined as K level > 5 mEq/l K level > 6 mEq/l K level > 6.5 mEq/l K level > 7 mEq/l K level > 8 mEq/l None 93. With respect to gastro-intestinal changes during pregnancy Gastric acid secretion is increased The risk of gastro-oesophageal reflux is increased The risk of peptic ulceration is increased especially during the third trimester Gut motility is increased The risk of constipation is reduced None 94. The hypothalamus is located in which part of the brain? Mesencephalon Midbrain Brain stem Diencephalon Corpus callosum None 95. The most common site for carcinoid tumor Stomach Appendix Doudenum Liver Pancrease None 96. Which of the following is represented in the following MRI picture ? Arcuate uterus Septate uterus Unicornuate uterus Bicornuate uterus Uterus didelphis None 97. With respect to the fetal circulation The mean arterial pressure at term is ~ 15 mmHg The pressure in the pulmonary artery is lower than that in the aorta The mean arterial pressure is higher at 20 weeks compared to 40 weeks The mean systemic venous pressure is higher in the fetus than in adults Loss of blood flow to the placenta at delivery results in a marked reduction in systemic resistance None 98. In brachial plexus below , What's the labelled structure ? Radial nerve Ulnar nerve Median nerve Axillary nerve Musculocutaneous nerve None 99. What is the average length of the newborn in the United Kingdom? 40 cm 46 cm 42 cm 50 cm 54 cm None 100. Which laser can be used in gynaecological surgery, is invisible without an aim beam and cannot be transmitted down a fibre optic cable? Helium–neon Neodymium:YAG Carbon dioxide Potassium titanyl phosphate Argon None 101. The following are all common side-effects of the progesterone-only pill EXCEPT: Ovarian cysts Nausea Breast tenderness Weight loss Headaches None You’ve already answered some of the questions! Would you like to continue with quiz or restart it from beginning? Time's up mock mode trial View Mastermrcog question bank